Actualmente la genética tiene un gran auge. De hecho, continuamente aparecen noticias sobre nuevos avances genéticos, nuevas enfermedades de origen genético o posibles tratamientos con base genética. Sin embargo, ¿Qué es la genética? Diferentes respuestas podríamos tener. Sin tratar de ser precisos, podríamos decir que se trata de la rama de la ciencia que estudia la herencia de las características físicas y del comportamiento, incluyendo aquellas que requieren una atención médica. Es evidente que posiblemente se trate de una definición que no abarca todos los ámbitos, pero sí incluye aquellas patologías que nos ocupan.
¿Cómo se organiza la información genética?
Todos nosotros provenimos de una única célula, el zigoto, como resultado de la fusión del gameto femenino, el óvulo de la mujer, y del gameto masculino, el espermatozoide del hombre. Cada progenitor aporta al nuevo individuo la mitad de la información genética contenida en el núcleo de todas las células. Tras sucesivas divisiones del zigoto, se origina un embrión que se desarrollará hasta dar lugar a una persona.
Así en la figura observamos la evolución embrionaria. (A) Embrión en día 0. (B) Embrión en día 1, se pueden observar los pronúcleos masculino y femenino. (C) Embrión en día +2, formado por dos células. (D) Embrión formado por cuatro células.La información genética, es decir, el material hereditario, se encuentra codificada en una molécula denominada ácido desoxirribonucleico, conocido por su abreviatura ADN. Por tanto, la molécula de ADN contiene toda la información genética necesaria para la formación del embrión, el desarrollo, crecimiento, metabolismo y la reproducción; en esencia, controla todos los aspectos para que una persona sea un organismo funcional.
Estructura del ADN. Una breve reseña
Para entender cómo se organiza la información genética y cómo se transmite de una célula a otra y de generación en generación, hay que hacer una pequeña introducción de la estructura del ADN.
El ADN es una molécula formada por dos hélices representadas en la figura superior de arriba a abajo y cada hélice tiene tres componentes identificados en la figura por colores diferentes: (1) la desoxirribosa (en rosa), se trata de un azúcar de cinco carbonos; (2) una base nitrogenada (en diferentes colores) y (3) un grupo fosfato (en verde). Dentro de las bases nitrogenadas podemos encontrar: Adenina (A) (amarillo), Guanina (G) (naranja), Timina (T) (azul) y Citosina (C) (gris) que se combinan con las bases nitrogenadas de la hélice opuesta como muestra la figura.Y ¿por qué son importantes las letras AGTC? Porque la secuencia lineal de estas bases contiene la información genética. Igual que nosotros tenemos un lenguaje específico y somos capaces de leer estas líneas, el ADN forma “palabras”, en este caso de tres letras, para especificar la secuencia de aminoácidos que forman las proteínas y que son en el último lugar las encargadas de hacer todo el trabajo de la célula. Esas letras son el código genético.
Watson y Crick en 1953 descubrieron que, en realidad, el ADN está formado por una doble cadena enrollada formando una doble hélice. Cada cadena que conforma el ADN es complementaria de la otra. De tal forma que siempre que en una cadena encontramos una A en la otra encontramos una T, igualmente enfrente de una G hay una C.
En la imagen de la izquierda encontramos la estructura de doble hélice de ADN descubierta por Watson y Crick. En azul y amarillo se representa cada una de las cadenas lineales que constituyen el ADN. A la derecha vemos la secuencia lineal del ADN. Se puede observar que siempre que en una de las cadenas hay una A enfrente hay una T, y que cuando hay una G enfrente hay una C.Cromosomas
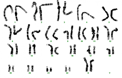
Como hemos mencionado, todas las células de un individuo tienen exactamente la misma información genética. Esta información genética es necesario que esté organizada, para lo cual se empaqueta en las moléculas de ADN y éstas en unos orgánulos específicos denominados cromosomas. Así, todo el material genético de una persona se organiza en 46 cromosomas, la mitad heredado de nuestra madre y la otra mitad de nuestro padre. Por tanto, cada progenitor aporta el 50% de la información genética a su descendencia, aunque como veremos más adelante, el genoma mitocondrial es exclusivamente de origen materno. Por tanto, tenemos 23 pares de cromosomas: del cromosoma 1 al 22 son denominados autosomas y son comunes a ambos sexos. El otro par de cromosomasestá constituido por los cromosomas sexuales. Las mujeres presentan dos cromosomas X, mientras que el varón presenta un cromosoma X (heredado de su madre) y un cromosoma Y (heredado de su padre).
En la imagen se puede observar un cariotipo femenino, que contiene 2 cromosomas X y ninguno Y.Genes y genomas o genotipos
Los genes son el conjunto de instrucciones necesarias para el crecimiento y desarrollo de cada célula del cuerpo y se localizan a lo largo de cada uno de los cromosomas. Si bien es verdad que muchas características son resultado de un único gen, muchas otras están influenciadas por múltiples genes o por características ambientales.
El genoma o genotipo de una persona es el conjunto de genes contenido en los cromosomas. Aproximadamente, cada persona tiene 21.000 genes en sus cromosomas y unos 37 genes en las mitocondrias. Estas son orgánulos en el interior de las células encargadas de proporcionar energía para el correcto funcionamiento de la célula, y que son exclusivamente de origen materno.
En la imagen podemos observar el análisis del genoma completo de un individuo. El eje de las X (la linea horizontal inferior) representa cada par cromosómico que va del 1 al 22 más el cromosoma X y el Y. Cada punto indica una región cromosómica concreta.El fenotipo
El ambiente, las diversas circunstancias de la vida como las costumbres, el país donde se vive, la alimentación, las enfermedades, la combinación de los genes de los progenitores, etc. determinan qué caracteres se exteriorizan. Al conjunto de caracteres externos de un individuo se llama fenotipo.




