Corazón normal
El corte de cinco cámaras atraviesa oblicuamente desde el lado derecho superior hacia el izquierdo e inferior. Corta las mismas estructuras que en el corte de 4 cámaras pero incluye además la salida aórtica.
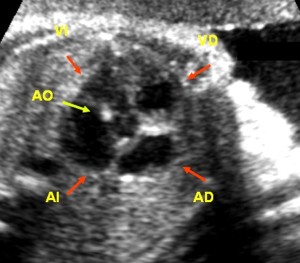
En la imagen y vídeo de cinco cámaras (en este se ve mejor las estructuras con el movimiento continuo. Hacer clic aquí para verlo) se observan las 4 cámaras antes mencionadas, con sus cavidades en color negro y, además, la salida de la aorta (Ao), que es la estructura central redonda en fondo negro que se sitúa entre la AI y el VD, y que tiene unas líneas blancas en su interior que son los velos de la válvula aórtica. Los tabiques interventricular e interauricular interauricular (líneas blancas) se visualizan también en sus regiones más anteriores.
![]() |
|
Cinco Cámaras, Corazón Normal
![]() |
|
Corazón patológico
Un estudio detallado del este corte nos permite diagnosticar otro grupo de cardiopatías, algunas de ellas graves como la tetralogía de Fallot, el truncus y la transposición de grandes vasos. La detección de estas cardiopatías es imposible si solo nos fijamos en el corte de 4 cámaras.
La comunicación interventricular (CIV) es visible en el corte de cuatro cámaras si su situación es posterior, y en el cinco cámaras si su posición es anterior o infundibular, como ocurre en el Fallot.
Comunicación interventricular del Fallot
(Ver imagen y video del Fallot en 5 cámaras): El tabique interventricular desaparece debajo de la válvula aórtica, y ambos ventrículos quedan comunicados a su través. Se trata de una CIV subaórtica, típica de algunas cardiopatías complejas como la Tetralogía de Fallot.
Cinco Cámaras, Fallot
![]() |
|



